(来源:义乌市卫计委)

最近,35岁的夏女士发现一个奇怪的现象:明明没刻意做什么,牙齿却好像 “偷偷变长” 了,牙缝也越来越宽,吃东西时总容易塞进去,刷牙时偶尔还会出血。当她发现自己口臭越来越严重后,终于找了个空,来到义乌市口腔医院就诊。牙周病科医生陈冬财检查后,确诊夏女士为中度牙周炎,建议她尽快治疗。

现实中,出现类似情况的患者不少,许多人发现自己的牙龈正在悄悄萎缩——更残酷的是,这块消失的牙龈,大多时候再也长不回来了。陈冬财医生表示,这是牙周炎的一个警告信号,一定要重视!

牙龈和牙槽骨

是 “唇亡齿寒” 的关系

PART ONE

牙缝里的“肉”没了,可能再也回不来了!3个方法对镜自测牙龈萎缩!

要明白牙龈为啥萎缩后难恢复,得先看清它的 “生存逻辑”。我们嘴里的牙龈,并不是独立生长的 “肉”,而是紧紧依附在牙槽骨上的 “保护层”,就像山坡上的植被,牙槽骨就是它的 “土壤”。你看到的牙龈高度,其实是牙槽骨状态的 “外在植被”—— 土壤肥沃,植被才会茂盛;土壤流失,植被自然会枯萎后退。

所以不是牙龈 “不想长”,而是它的 “土壤” 没了,根本没有生长的基础。

3步对镜自测牙龈健康度

PART TWO

很多人直到牙龈明显萎缩,才意识到自己的口腔出了问题。其实健康的牙龈有 3 个明显特征,拿起镜子就能自测:

颜色:均匀的粉红色

健康牙龈不是惨白或深红,而是像桃花瓣一样均匀的淡粉色,边缘薄薄的,紧紧贴在牙齿表面,没有红肿、发紫的情况。如果牙龈发红、肿胀,甚至一碰就疼,大概率已经有炎症了。

表面:有 “橘皮样” 点彩

仔细看牙龈表面,会发现有细小的点状凹陷,摸起来有点粗糙,像橘皮的纹理,这叫 “点彩”。它是牙龈健康的 “标志”—— 有炎症时,点彩会消失;炎症消退后,点彩又会慢慢回来。如果你的牙龈摸起来光滑得像镜面,就要警惕了。

质地:紧实有弹性

用手指轻轻碰一下牙龈(别太用力),会感觉它紧实有弹性,不会软塌塌的,刷牙、用牙线时也不会轻易出血。如果牙龈一碰就出血,甚至刷牙时泡沫带血,说明牙龈已经受损,可能正在向萎缩发展。

牙缝里的“肉”没了,可能再也回不来了!3个方法对镜自测牙龈萎缩!

那些危害牙龈的日常习惯

PART THREE

牙缝里的“肉”没了,可能再也回不来了!3个方法对镜自测牙龈萎缩!

图片来源:腾讯医典

牙龈萎缩不是突然发生的,而是长期 “积累” 的结果。很多你以为不起眼的行为,其实都在慢慢伤害牙槽骨和牙龈:

1.长期不洗牙,牙结石 “啃食” 牙槽骨

每天刷牙只能清理表面的牙菌斑,长期不清理的牙菌斑会变硬成牙结石,像 “石头” 一样粘在牙齿和牙龈之间,不断刺激牙龈发炎。炎症会慢慢渗透到牙槽骨,把骨头 “啃” 得越来越少,牙龈自然就跟着萎缩了。

2.塞牙缝不清理,牙龈被 “压垮”

吃饭时塞了肉丝、菜叶,很多人习惯用牙签戳,或者干脆不管。其实食物嵌在牙缝里,会像 “异物” 一样压迫牙龈,还会滋生细菌,长期下来牙龈会慢慢发炎、后退,牙缝就越来越宽,形成 “越塞越宽、越宽越塞” 的恶性循环。

3.补牙 / 做假牙没做好,边缘成了 “细菌窝”

龋齿补牙时如果边缘不平整,或者做假牙时贴合度不够,会形成细小的缝隙,藏污纳垢。这些粗糙的边缘会不断刺激牙龈,时间久了就会导致牙龈萎缩,甚至让原本健康的牙龈也受损。

4.咬硬东西、牙齿不齐,“压坏” 牙周

喜欢用牙齿咬坚果壳、冰块,或者长期单侧咀嚼,会让牙齿受力不均;牙齿不齐、“地包天” 等问题,也会让部分牙齿承受过大的咬合力。这些 “异常受力” 会慢慢损伤牙周组织,导致牙槽骨吸收,进而引发牙龈萎缩。

5.掉牙不补,牙槽骨 “失养” 萎缩

牙齿就像树根,能给牙槽骨 “营养”,防止它流失。如果牙齿掉了长期不补,对应的牙槽骨没有了牙根的支撑,就会像失去树根的土壤一样,慢慢变矮、变窄,旁边的牙龈也会跟着萎缩,导致后续想补牙、种牙都更困难。

牙龈已经萎缩了怎么办?

PART FOUR

虽然已经萎缩的牙龈很难完全恢复,但及时干预能阻止它继续恶化,甚至让轻度受损的牙龈慢慢好转。

1. 先做好 “基础清洁”:控制菌斑是关键

牙菌斑是导致牙龈问题的 “元凶”,每天必须认真清理:

刷牙用巴氏刷牙法:牙刷和牙齿呈 45 度角,刷毛对准牙龈沟(牙齿和牙龈交界的缝隙),轻轻旋转刷牙,每次刷 3 分钟,早晚各一次。

每天用牙线或牙缝刷:牙刷刷不到牙缝,必须用牙线(或牙缝刷)清理,尤其是饭后,避免食物嵌塞。

2. 及时看牙医:针对性解决问题

有炎症先做牙周治疗:如果有牙龈出血、红肿,先去洗牙(超声波洁牙),把牙结石清掉;如果牙结石已经深入牙龈下,需要做 “龈下刮治”,彻底清理牙根表面的污垢,让炎症消退。

有蛀牙赶紧补:龋齿会导致牙齿边缘不平整,容易藏细菌,及时补牙能恢复牙齿形态,减少对牙龈的刺激,让牙龈慢慢恢复正常。

掉牙别拖,尽快修复:缺牙后及时种牙、装假牙或做固定桥,能让咬合力分散,保护牙槽骨,防止进一步萎缩。

牙齿不齐或咬合异常?矫正调整:牙齿不齐、咬合受力不均的人,可以通过正畸治疗(矫正牙齿)调整牙齿位置,让咬合力分布均匀,减轻牙周负担,帮助牙龈恢复。

牙缝里的“肉”没了,可能再也回不来了!3个方法对镜自测牙龈萎缩!

洗牙前后对比

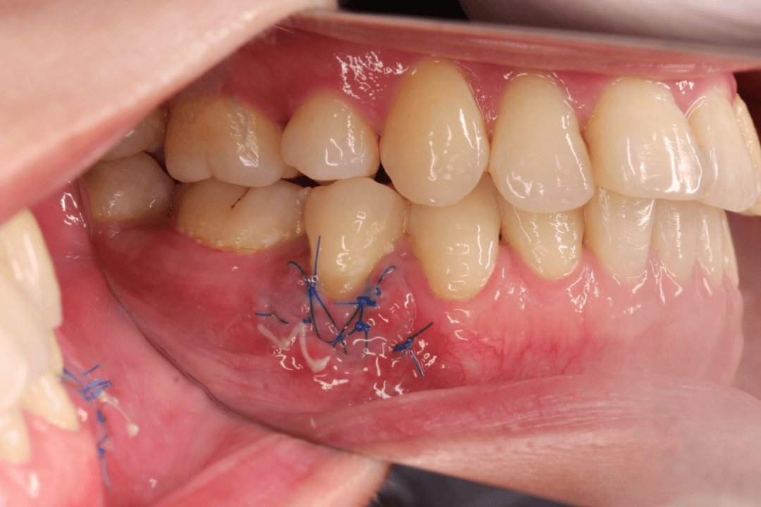
3. 严重萎缩?试试牙周手术

如果牙龈萎缩严重,比如牙根暴露太多、牙缝过大,单纯的基础治疗可能不够,医生会建议做牙周手术,比如 “游离龈移植术”—— 从口腔其他部位取一小块健康的牙龈,移植到萎缩的区域,覆盖暴露的牙根,改善外观和功能。

牙缝里的“肉”没了,可能再也回不来了!3个方法对镜自测牙龈萎缩!

牙缝里的“肉”没了,可能再也回不来了!3个方法对镜自测牙龈萎缩!

牙缝里的“肉”没了,可能再也回不来了!3个方法对镜自测牙龈萎缩!

术前 术中 术后

最后要提醒的是:牙龈萎缩是 “不可逆” 的,预防永远比治疗更重要。别等牙齿 “变长”、牙缝变大才想起护牙,每天认真刷牙、用牙线,半年到一年洗一次牙,有口腔问题早看牙医,才能让牙龈一直 “紧紧抱住” 你的牙齿,避免 “牙缝变大、牙齿变长” 的尴尬。毕竟,一口健康的牙龈,才是牙齿能 “陪伴” 我们一辈子的关键。

来源:义乌市口腔医院

审稿:义乌市口腔医院副主任医师 赵磊

编辑:王春花

校审:石金玲、牟晋超、楼永明